Cabinet d'orthodontie du Dr Frank MORATO
SPÉCIALISTE QUALIFIÉ EN ORTHODONTIE(ODF) MARTINIQUE - FORT DE FRANCE
ACCUEIL
LE CABINET
PLAN D'ACCÈS
EXEMPLES DE TRAITEMENTS
SMILE BOOK
Contact
Cabinet d'orthodontie du Dr Frank MORATO
SPÉCIALISTE QUALIFIÉ EN ORTHODONTIE(ODF) MARTINIQUE - FORT DE FRANCE
ACCUEIL
LE CABINET
PLAN D'ACCÈS
EXEMPLES DE TRAITEMENTS
SMILE BOOK
Contact
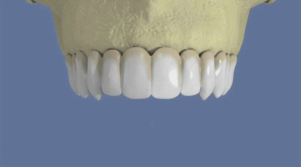
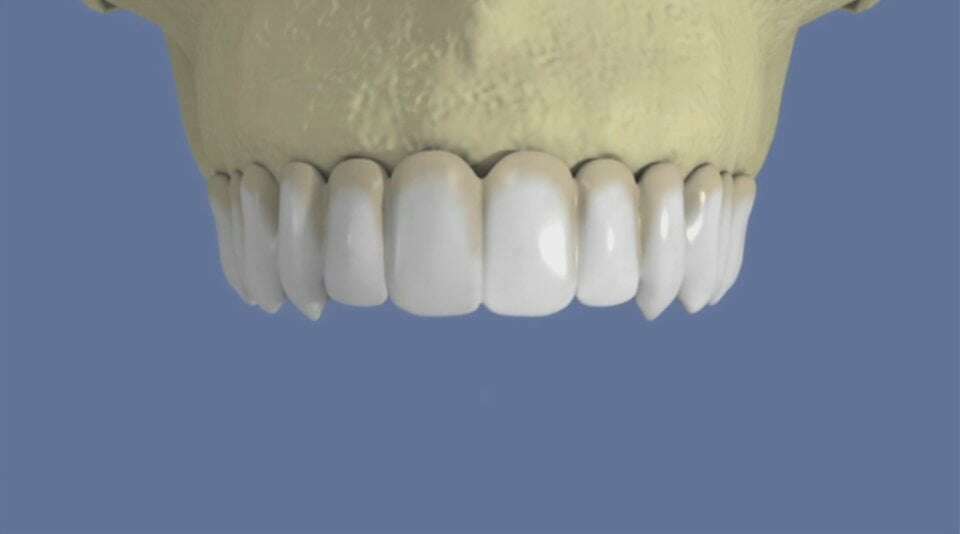
Maxillaire : bridge vissé sans fausse gencive
Vidéos 3D
Partager
Twitter
Partager
Partager
Envoyer
Copier
Cabinet d'orthodontie du Dr Frank MORATO
31 route de Cluny
97200
Fort de France
En savoir +
Politique de confidentialité et charte cookie
Mentions légales
Conditions Générales Utilisation
Charte déontologique
Ordre national
Annuaires chirurgiens dentistes
Recherche
Rechercher dans le blog Blog
Création par
Connexion
Vidéo en cours de lecture